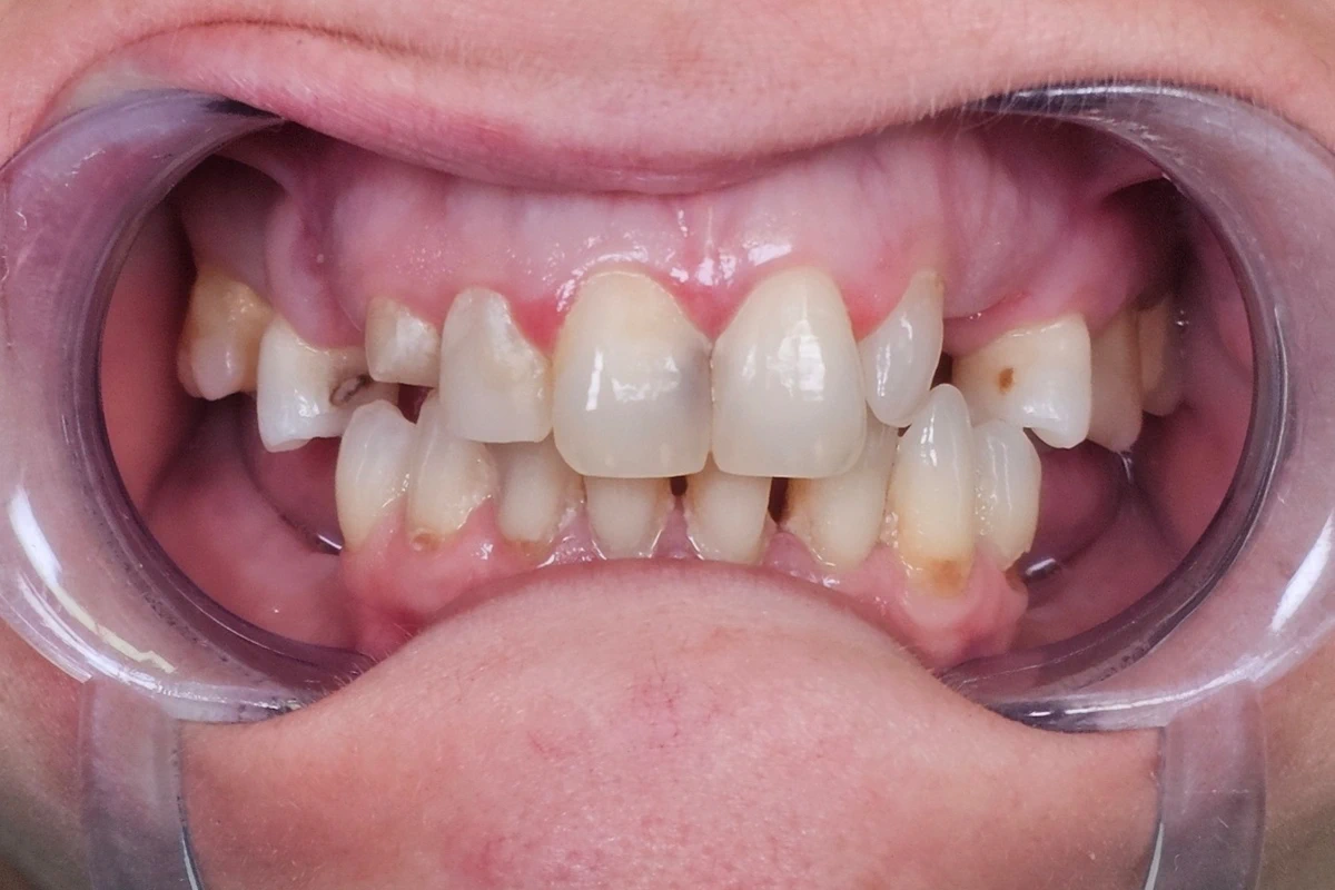
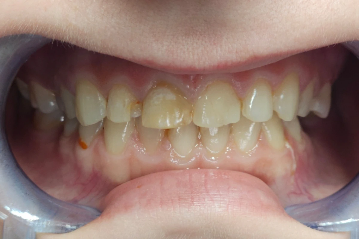
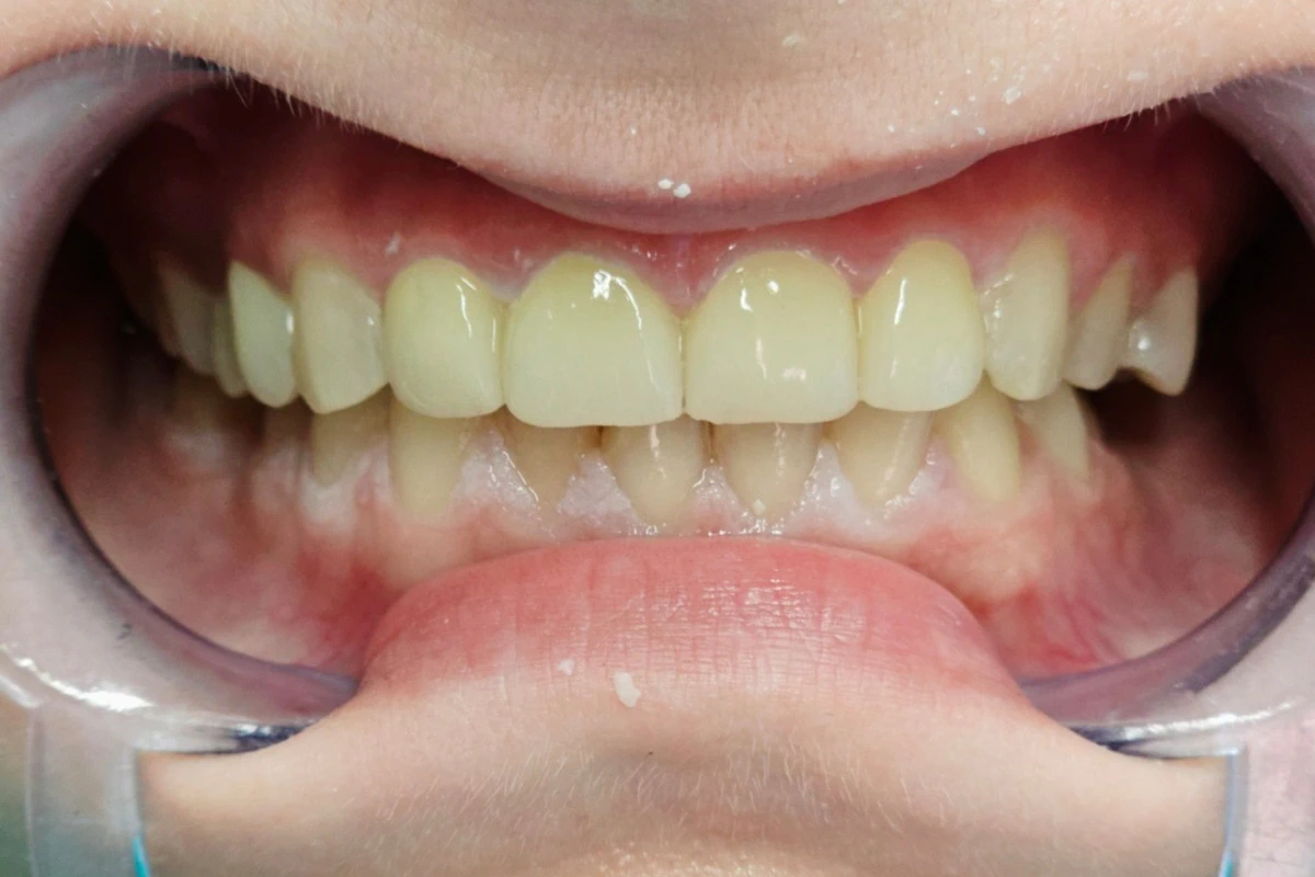
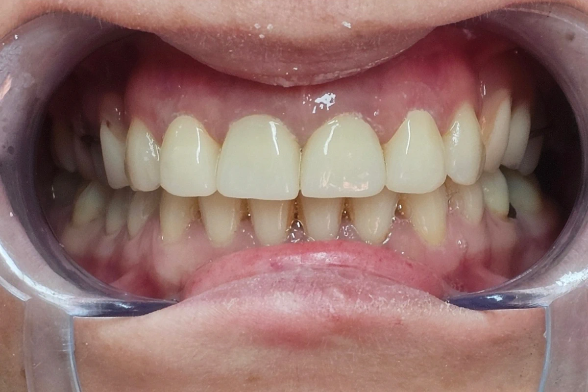
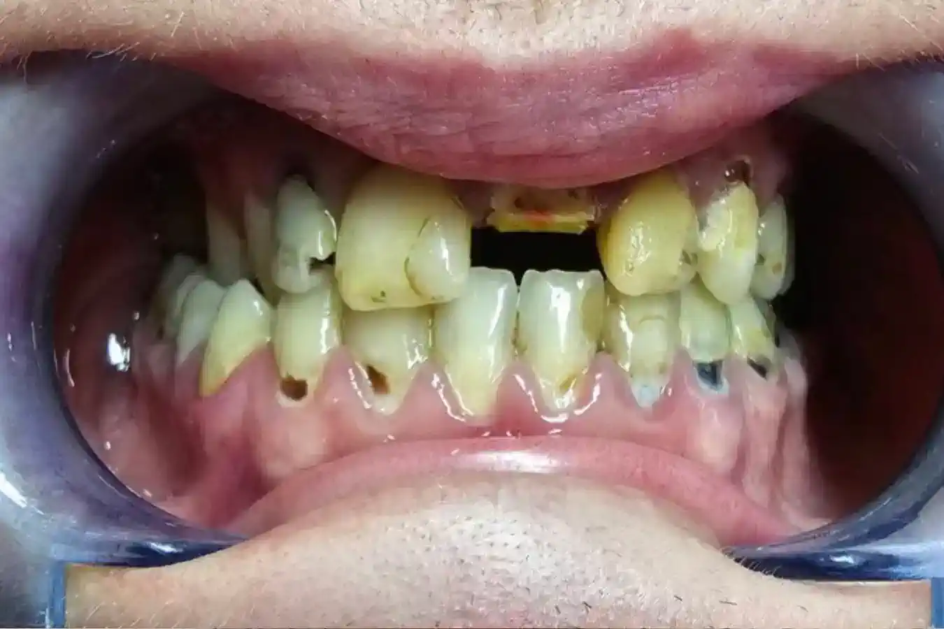
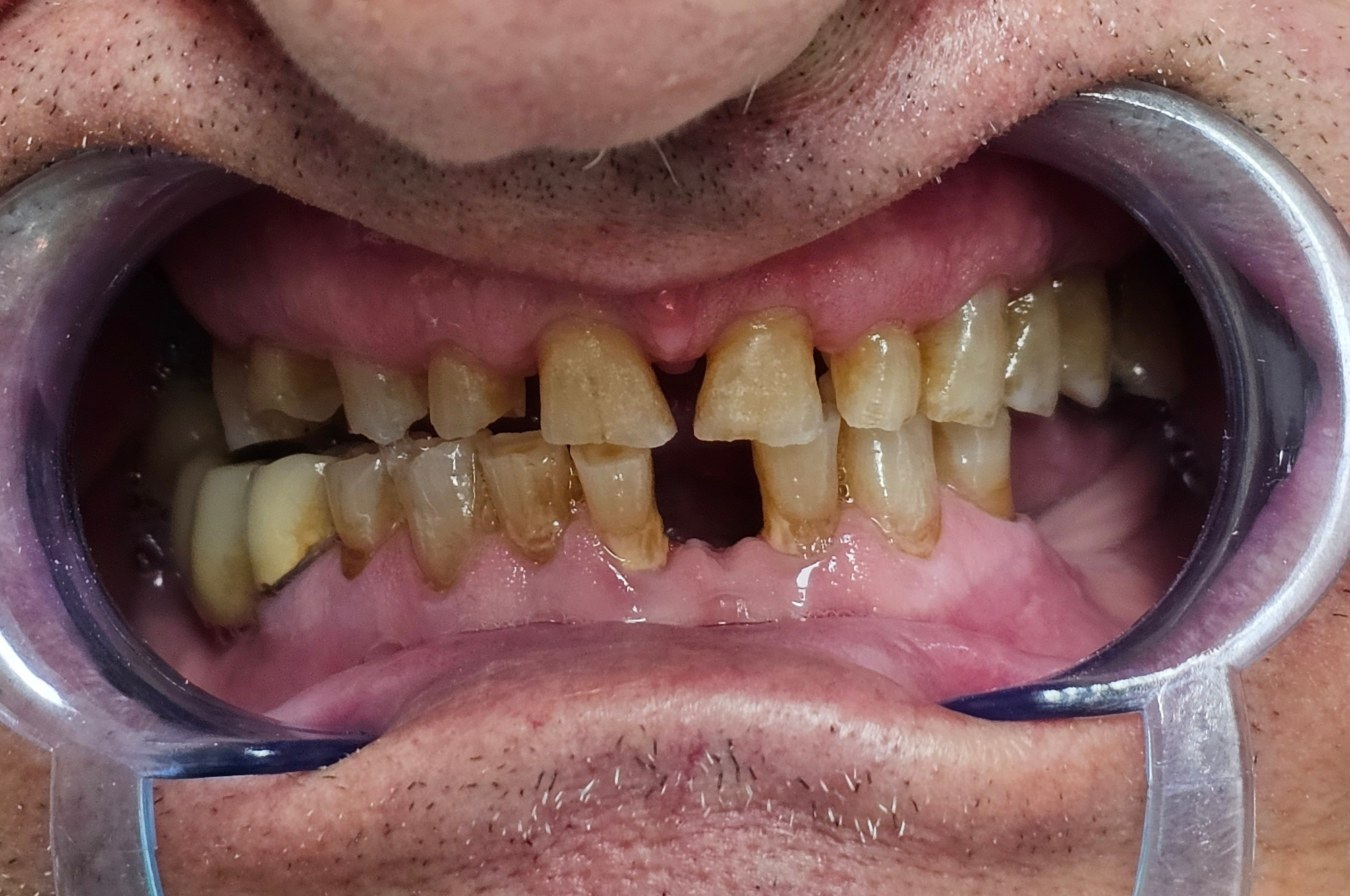
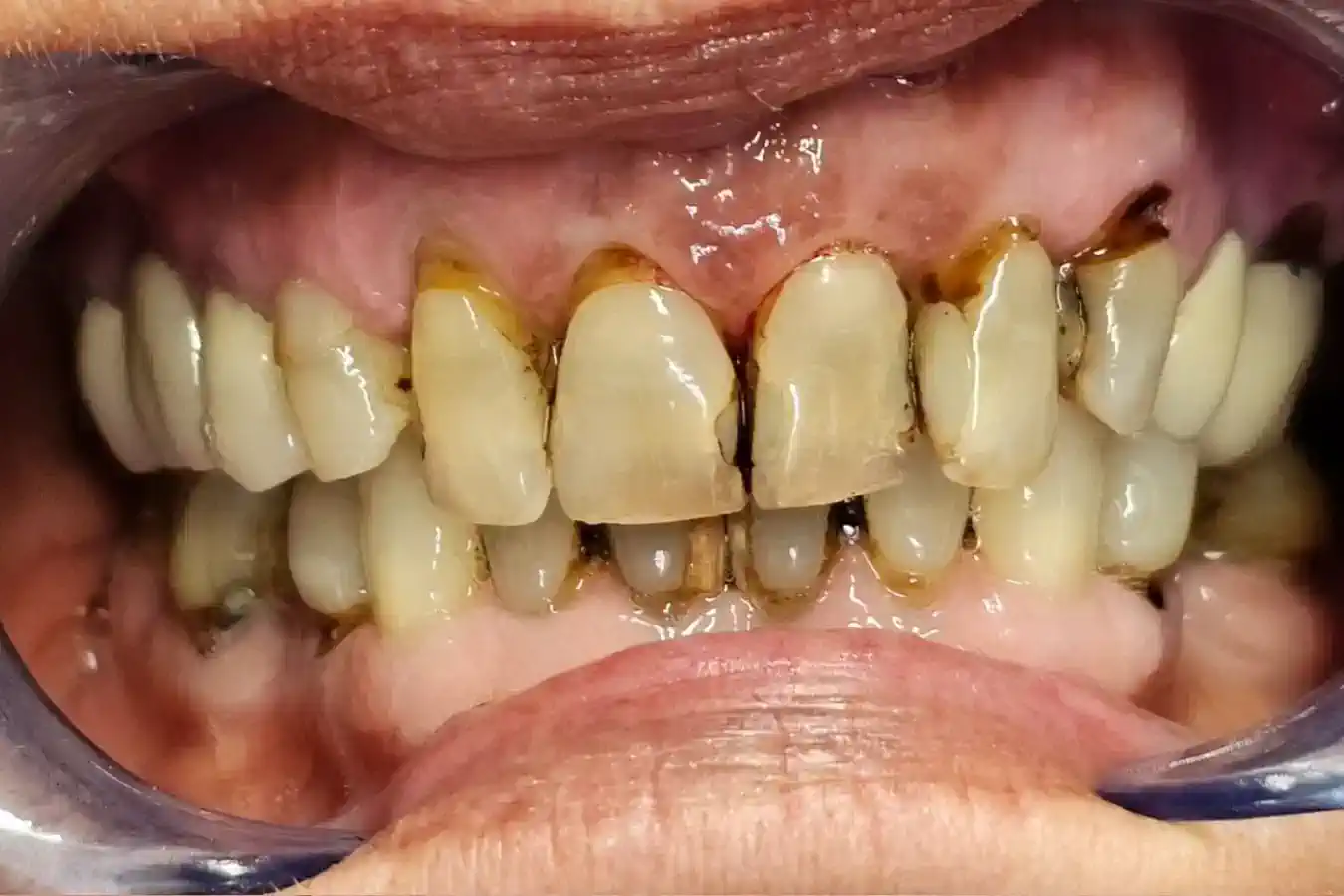
Galerija naših radova

Pratite nas na društvenim mrežama: